ABSTRACT
Rationale and objectives
This study examined the brain effects of mild severe acute respiratory syndrome coronavirus 2 (SARS-CoV-2) infection which are incompletely understood. Our objective was to ascertain within-person changes associated with mild coronavirus disease 2019 (COVID-19) in otherwise healthy adults.
Materials and methods
We leveraged existing pre-pandemic baseline neuroimaging and neurocognitive data, and collected follow-up data from uninfected controls and individuals with prior mild COVID-19, during December 2020 and January 2021, when vaccines were not yet available. We compared change during follow-up in patients (n = 5) versus controls (n = 15).
Results
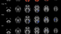
We identified a decrease of intracellular volume fraction (ICVF), decrease of isotropic volume fraction (ISO) and decrease of orientation dispersion index (ODI) in multiple inferior frontal regions of interest in COVID-19 patients; this longitudinal change was significantly different from the control group which demonstrated increases in equivalent measures. This pattern suggests injury with neuronal loss and/or inflammation as underlying mechanisms. Neurocognitive studies identified a pattern of cognitive decline (processing speed, executive function, verbal learning, working memory) in patients, that did not reach significance.
Conclusion
Our pilot data suggests that mild COVID-19 may result in brain pathology and impact neurocognitive function in younger adults in a manner parallel to prior findings in older individuals. Though findings may not generalize to other SARS-CoV-2 variants, larger longitudinal studies of mild COVID-19 should be undertaken to understand the potential clinical implications of these findings over the longer term.



