ABSTRACT
Background: SARS-CoV-2 exploits TMPRSS2, an androgen-regulated protease highly expressed in prostate tissue, to enter host cells. While inflammation is a recognized promoter of oncogenesis, the possibility that viral prostatitis could precede prostate cancer has not been previously reported.
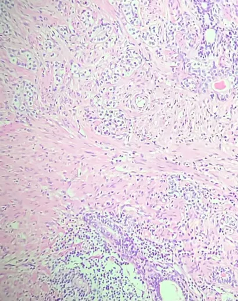
Case presentation: We describe the case of a 55-year-old male with no family history of prostate or breast cancer and no germline pathogenic variants on next-generation sequencing (NGS), who developed lower urinary tract symptoms (LUTS) and PSA elevation shortly after a second COVID-19 infection. Multiparametric MRI initially demonstrated diffuse PI-RADS 4 changes compatible with prostatitis. Although symptoms improved with antibiotics, LUTS persisted and were managed with finasteride and doxazosin. Over the following two years, serial imaging revealed progression to a long, poorly demarcated PI-RADS 5 lesion extending from apex to base in the right posterior peripheral zone, and a smaller PI-RADS 4 lesion on the left. Targeted biopsy confirmed acinar adenocarcinoma (Gleason 7 and 6 in 16 of 26 cores). PET-PSMA showed disease confined to the prostate. The patient underwent neoadjuvant therapy with androgen deprivation therapy (ADT) plus a novel hormonal agent (NHA) from April 14 to October 15, 2024, resulting in significant tumor reduction. Radical prostatectomy on November 1, 2024 revealed a small residual acinar adenocarcinoma focus with perineural invasion, negative surgical margins, and molecular evidence of TMPRSS2::ERG gene fusion and PTEN loss.
Conclusion: This is the first documented case suggesting a potential link between COVID-19-related prostatitis and subsequent prostate cancer in a TMPRSS2::ERG-altered patient without hereditary predisposition. Although causality cannot be established, the findings highlight a hypothesis-generating interface between viral infection, inflammation, and oncogenesis that warrants further study.





