ABSTRACT
Background
In historical viral epidemics, such as the H1N1 influenza and Zika viruses, prenatal exposures were correlated with risk for neuropsychiatric conditions in offspring. However, the long-term effects of prenatal COVID-19 viral exposure on offspring neurodevelopment are still being discovered.
Methods
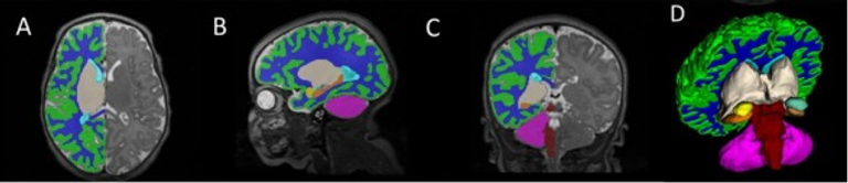
We prospectively recruited mother-baby dyads during the COVID-19 pandemic, who had been exposed to the SARS-CoV-2 virus during pregnancy (2020–2022) into a longitudinal infant brain development study and compared them to a low-risk normative pre-pandemic cohort (2016–2019). Quantitative 3-D volumetric magnetic resonance imaging (qMRI) was conducted at a neonatal visit when the infant was approximately 2 weeks of corrected age. Behavioral development was assessed using the Bayley Scales of Infant and Toddler Developmental, Third Edition (BSID-III) and the Infant-Toddler Social and Emotional Assessment (ITSEA), when the child was approximately 2 years old. An ordinary least squares regression model was used to determine the neurodevelopment of toddlers relative to their exposure to the SARS-CoV-2 virus. Mediation analyses were performed to assess how in utero exposure to SARS-CoV-2 affected the newborn brain and toddler developmental outcomes. Analyses were adjusted for maternal age and educational level, infant sex, and total brain volume on qMRI.
Findings
This study prospectively recruited 142 mother baby dyads, 103 from a normative prepandemic cohort and 39 pairs who had been exposed to the SARS-CoV-2 virus during pregnancy. In utero viral exposure was associated with altered newborn regional brain volumes in the cortical gray matter (q = 0.001), subcortical gray matter (q < 0.001), cerebral white matter (q = 0.005), and left hippocampus (q = 0.008). Viral exposure additionally was associated with lower cognition (q = 0.010) and social emotional (q = 0.001) scores on the BSID-III and higher scores on the internalizing domain (q = 0.040) of the ITSEA. The lower cognition scores on the BSID-III following SARS-CoV-2 exposure were mediated in part by the altered cortical gray matter volumes (21.9 % mediated, p = 0.034). These lower cognition scores further mediated the relationship between the SARS-CoV-2 viral exposure and increased internalizing behavior scores on the ITSEA (61.0 % mediated, p = 0.040).
Conclusions
This study reports that in utero SARS-CoV-2 viral exposure was associated with decreased cognitive skills in toddlers at age 2, and this association was mediated by cortical gray matter volumes in the newborn brain. In addition, toddler cognitive scores further mediated an increase in toddler internalizing behaviors. These findings highlight the need for ongoing assessments for children born during the COVID-era.




