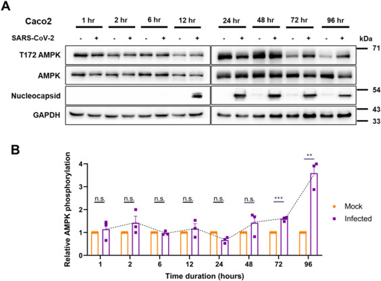
ABSTRACT
Comorbidities such as diabetes worsen COVID-19 severity and recovery. Metformin, a first-line medication for type 2 diabetes, has antiviral properties and certain studies have also indicated its prognostic potential in COVID-19. Here, we report that metformin significantly inhibits SARS-CoV-2 growth in cell culture models. First, a steady increase in AMPK phosphorylation was detected as infection progressed, suggesting its important role during viral infection. Activation of AMPK in Calu3 and Caco2 cell lines using metformin revealed that metformin suppresses SARS-CoV-2 infectious titers up to 99%, in both naïve as well as infected cells. IC50 values from dose-variation studies in infected cells were found to be 0.4 and 1.43 mM in Calu3 and Caco2 cells, respectively. Role of AMPK in metformin's antiviral suppression was further confirmed using other pharmacological compounds, AICAR and Compound C. Collectively, our study demonstrates that metformin is effective in limiting the replication of SARS-CoV-2 in cell culture and thus possibly could offer double benefits as diabetic COVID-19 patients by lowering both blood glucose levels and viral load.
