ABSTRACT
Background
SARS-CoV-2’s potential consequences on the developing brain are still unknown. The aim of this study was to describe cranial ultrasonographic (cUS) findings in a population of newborns exposed to SARS-CoV-2 born at San Marco Hospital in Catania.
Methods
Two cohort of newborns, one exposed to SARS-CoV-2 both during gestation and at birth and one unexposed, were enrolled in this cross-sectional study conducted according to the STROBE guidelines (Strenghtening the Reporting of Observational Studies in Epidemiology) and underwent cUS. We performed a statistical analysis using the Fisher’s exact test to assess whether significant differences among the two groups existed.
Results
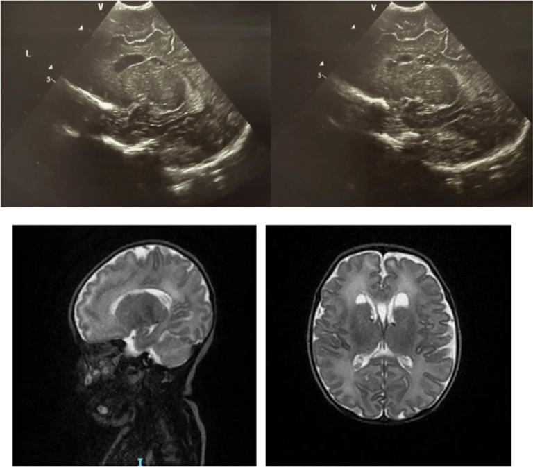
We enrolled 139 exposed newborns (62 females, 77 males with median gestational age 38.4 ± 1.9 W and median weight at birth 3142.8 ± 594.4 g) and 139 unexposed newborns (60 females, 79 males with median gestational age 38,9 ± 1.3 W and median weight at birth 3230 ± 336 g). cUS abnormalities were found in 32 exposed patients (23%) and in 23 (16.5%) unexposed patients. A statistically significant difference was found in the incidence of minor intracranial abnormalities (p 0.036) between exposed and unexposed patients and between newborns exposed during pregnancy and unexposed patients (p 0.016).
Conclusions
In our experience, the incidence of minor intracranial abnormalities was higher in SARS-COV-2-exposed newborns. Our results must be taken with caution and need further confirmation in larger studies but suggest to consider performing cUS at birth in newborns exposed to SARS-CoV-2 in research contexts.
